Tác hại răng khôn và những sự thật khiến bạn lo lắng
- Bảo Ly
- 17 Tháng 1, 2026
Răng khôn thường mang lại nỗi ám ảnh kinh hoàng với những cơn đau nhức dai dẳng. Việc hiểu rõ về "vị khách không mời" này sẽ giúp bạn chủ động bảo vệ nụ cười và sức khỏe toàn diện của mình một cách hiệu quả nhất.
Răng khôn là gì?
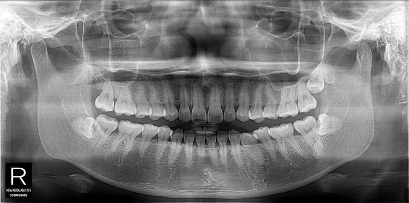
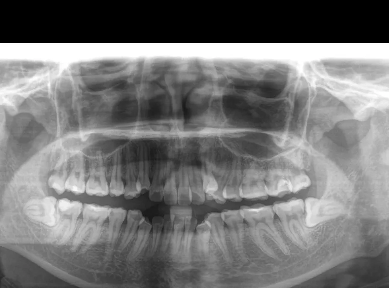
Răng khôn, hay còn gọi là răng số 8, là những chiếc răng hàm lớn thứ ba mọc cuối cùng trên cung hàm của con người.
Thông thường, chúng bắt đầu xuất hiện ở độ tuổi trưởng thành, từ 17 đến 25 tuổi, khi mà toàn bộ cấu trúc xương hàm đã phát triển ổn định và không còn nhiều chỗ trống.
Chính vì là kẻ đến sau cùng, răng khôn thường không tìm được vị trí thuận lợi để mọc thẳng. Chúng phải tìm cách chen chúc, dẫn đến các tình trạng phổ biến như mọc lệch, mọc ngầm dưới nướu hoặc đâm ngang vào chiếc răng số 7 bên cạnh.
Tác hại của răng khôn gây ra
Sự hiện diện không đúng cách của răng khôn có thể ví như một "quả bom nổ chậm" trong khoang miệng, sẵn sàng gây ra những biến chứng nguy hiểm nếu không được can thiệp kịp thời.
Viêm nhiễm vùng nướu và lợi trùm
Khi răng chỉ nhú lên một phần, một vạt nướu sẽ phủ lên bề mặt răng tạo thành kẽ hở lý tưởng cho thức ăn và vi khuẩn tích tụ. Do nằm quá sâu trong góc hàm, việc vệ sinh tại đây cực kỳ khó khăn, dẫn đến tình trạng viêm lợi trùm.
Người bệnh sẽ phải đối mặt với những cơn đau thắt, nướu sưng đỏ, đôi khi có mủ và gây ra mùi hôi miệng khó chịu, thậm chí làm sưng cả vùng má và gây sốt cao.
Hủy hoại cấu trúc răng số 7 lân cận
Khi răng khôn mọc lệch hoặc đâm ngang, nó sẽ trực tiếp húc vào chân răng số 7. Lực đẩy này diễn ra âm thầm nhưng mạnh mẽ, làm tiêu chân răng, gây sâu răng số 7 và có thể khiến chiếc răng này bị lung lay hoặc mất vĩnh viễn.
Xô lệch toàn bộ hệ thống hàm răng
Vì xương hàm không còn đủ chỗ, răng khôn khi cố gắng vươn lên sẽ tạo ra một áp lực đẩy rất lớn lên các răng phía trước. Điều này khiến cả hàm răng bị chen chúc, xô lệch và làm hỏng kết quả của những người đã từng thực hiện chỉnh nha.
Nguy cơ hình thành u nang xương hàm
Trong một số trường hợp răng khôn mọc ngầm hoàn toàn trong xương, các mô bao quanh răng có thể phát triển thành u nang.
Nếu không được phát hiện qua phim chụp X-quang, u nang này sẽ âm thầm phá hủy xương hàm, làm tổn thương các dây thần kinh và các răng xung quanh, gây ra những tổn thương nặng nề khó phục hồi.
Nhổ răng khôn có ảnh hưởng đến dây thần kinh không?
Đây là thắc mắc lớn nhất khiến nhiều người trì hoãn việc điều trị. Thực tế, lo lắng này hoàn toàn có cơ sở nhưng với công nghệ nha khoa hiện đại năm 2026, rủi ro này đã được kiểm soát tối đa:
- Phim chụp CT Cone Beam: Đây là bước chuẩn bị quan trọng nhất giúp bác sĩ xác định chính xác vị trí chân răng khôn và khoảng cách của chúng tới ống dây thần kinh hàm dưới trước khi thực hiện thao tác nhổ.
- Công nghệ Piezosurgery: Việc sử dụng sóng siêu âm cao tần để tách răng giúp hạn chế xâm lấn tối đa vào mô mềm và bảo vệ các cấu trúc thần kinh xung quanh, giảm thiểu tình trạng tê bì sau phẫu thuật.
- Kỹ năng bác sĩ: Một chuyên gia giàu kinh nghiệm sẽ thực hiện các thao tác bóc tách chuẩn xác, đảm bảo không gây tổn thương hay đứt các nhánh dây thần kinh cảm giác vùng hàm mặt.
- Hiện tượng tê bì tạm thời: Đôi khi người bệnh có cảm giác tê môi hoặc lưỡi nhẹ sau khi nhổ do thuốc tê hoặc phản ứng viêm sau phẫu thuật, nhưng tình trạng này thường sẽ tự biến mất sau một thời gian ngắn.
Khi nào nên nhổ răng khôn?
Việc giữ lại hay nhổ bỏ răng khôn phụ thuộc hoàn toàn vào tình trạng thực tế của từng cá nhân. Tuy nhiên, các bác sĩ nha khoa thường chỉ định nhổ bỏ trong các trường hợp sau:
- Răng khôn mọc lệch gây đau nhức dai dẳng hoặc làm viêm nhiễm vùng nướu xung quanh.
- Răng có nguy cơ hoặc đã gây hư hại trực tiếp đến chiếc răng số 7 bên cạnh.
- Răng mọc thẳng nhưng không có răng đối diện khớp cùng, khiến răng trồi dài ra gây nhồi nhét thức ăn và viêm nướu đối diện.
- Răng khôn bị sâu nặng hoặc mắc bệnh viêm nha chu không thể điều trị hiệu quả.
- Nhổ bỏ theo chỉ định của bác sĩ khi cần thực hiện chỉnh nha hoặc niềng răng.
Răng khôn tiềm ẩn nhiều nguy cơ gây hại cho sức khỏe răng miệng nếu không được kiểm soát tốt. Việc thăm khám định kỳ và chụp phim X-quang là cách tốt nhất để bạn biết được khi nào cần can thiệp. Đừng để những cơn đau hành hạ mới tìm đến bác sĩ.
Bảo Ly
Tìm Kiếm
Bài Viết Liên Quan
Những tác hại tiềm ẩn của lá ổi đối với sức khỏe cần biết
- 11 Tháng 4, 2025
Những rủi ro tiềm ẩn của thuốc tránh thai khẩn cấp
- 11 Tháng 4, 2025
Bài Viết Mới
Kinh nghiệm chơi Xì dách và tuyệt kỹ thắng nhà cái thần tốc
- 5 Tháng 3, 2026
Tác hại của uống nước đá đối với hệ hô hấp và tiêu hóa
- 25 Tháng 2, 2026
Khoa Pug là ai cuộc sống xa hoa khiến fan tranh cãi dữ dội
- 24 Tháng 2, 2026
Tác hại của sóng wifi và bí kíp bảo vệ sức khỏe cả gia đình
- 23 Tháng 2, 2026






Bình Luận